Bir çox insanlar ağız dişlərinin mütləq çıxarılmalı olduğunu düşünür, lakin mütəxəssislər bunun hər zaman doğru olmadığını bildirirlər. Ağız dişlərinin çıxarılması yalnız ağrı, iltihab, infeksiya, kariyes və ya qonşu dişlərə təzyiq kimi problemlər yaratdığı hallarda zəruri sayılır.
AzPost Health saytına istinadən mövzu ilə bağlı əsas məqamları təqdim edir.
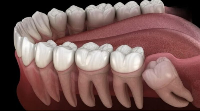
Ağız dişləri nə vaxt çıxır?
Ağız dişləri erkən yeniyetmə dövrünədək ağız boşluğunda formalaşmır. Onlar adətən 8–15 yaş aralığında diş ətlərinin altında inkişaf etdikdə rentgen müayinələrində görünməyə başlayır. Bəzi insanlarda isə bu dişlər ümumiyyətlə formalaşmır.
Amerika Stomatoloji Assosiasiyasının məlumatına görə, ağız dişləri bir neçə il ərzində tədricən diş ətini yararaq çıxa bilər. Əksər hallarda 17–21 yaş arasında tam və ya qismən çıxır. Bəzən isə diş ətini tam yarıb çıxmır və ya yalnız qismən görünür.
Ağız dişləri həm alt, həm də üst çənənin ən arxa hissəsində, ağız boşluğunun sonunda yerləşir.
Hansı problemlər yarana bilər?
Ağız dişləri ilə bağlı ən çox rast gəlinən problemlərdən biri retensiyadır. Bu, dişin diş əti və ya sümük altında ilişib qalması deməkdir.
Retensiya çənənin diş üçün kifayət qədər yerinin olmaması və ya dişin əyri istiqamətdə çıxmağa çalışması səbəbindən yarana bilər. Belə hallarda aşağıdakı fəsadlar baş verə bilər:
-
Perikoronit – retensiyalı ağız dişi ətrafındakı toxumanın iltihablanması və infeksiyalaşması, ağrı və şişkinliklə müşayiət olunur
-
Kariyes – dişin qonşu dişə bucaq altında yerləşməsi təmizlənməni çətinləşdirir və çürüməyə səbəb olur
-
Parodontit – dişləri dəstəkləyən toxumaların infeksiyası olub, müalicə olunmadıqda sümük itkisinə gətirib çıxara bilər
-
Kök rezorbsiyası – diş köklərinin dağılması, bu proses həm ağız dişində, həm də onun yanında yerləşən dişdə baş verə bilər
Ağız dişləri nə vaxt çıxarılmalıdır?
Frontiers in saytının məlumatına görə, ağız dişlərinin çıxarılması gənclər arasında ən geniş yayılmış cərrahi müdaxilələrdən biridir. Bir çox böyüklərin ən azı bir ağız dişi çıxarılıb.
Stomatoloq və ya ortodont aşağıdakı hallarda dişin çıxarılmasını tövsiyə edə bilər:
-
diş ağrı yaradırsa
-
digər dişlərə zərər verirsə
-
kariyesə məruz qalırsa və ya kariyesə səbəb olursa
-
parodontit riski yaradırsa və ya bu xəstəliyin inkişafına gətirib çıxarırsa
Əgər ağız dişləri tam çıxıb və ağız boşluğunda heç bir problem yaratmırsa, onların çıxarılması məcburi hesab olunmur.
Mümkün risklər
Ağız dişlərinin cərrahi yolla çıxarılması bəzi ağırlaşmalara səbəb ola bilər. Bunlara “quru yuva” (qan laxtasının yerindən tərpənməsi nəticəsində yaranır), infeksiya və diş sinirinin zədələnməsi daxildir. Sinir zədələnməsi ağrı, keyləşmə və ya iynələnmə hissi ilə özünü göstərə bilər.
Mütəxəssislər vurğulayır ki, ağız dişləri ilə bağlı qərar fərdi yanaşma tələb edir və ən doğru seçim stomatoloq müayinəsindən sonra verilməlidir.